10 fascinujúcich až strašidelných vecí, ktoré sa môžu stať ľudskému telu #1
Ľudské telo je mimoriadne zložité a odolné, no zároveň zraniteľné voči rôznym zvláštnym a neraz znepokojujúcim javom. V niektorých prípadoch dokáže reagovať tak nečakane, že vyvolá údiv, zdesenie alebo otázky bez jasných odpovedí. Tento článok prináša výber desiatich zvláštnych javov, ktoré sa môžu v tele človeka skutočne odohrať – a niektoré z nich sú natoľko nezvyčajné, že pôsobia až strašidelne. Ide o medicínske fenomény, ktoré sa vymykajú bežnej skúsenosti, no boli zdokumentované a potvrdené odborníkmi.
#1 V prste mi transplantovali šľachu a používajú gombík, prišitý cez necht, aby nová šľacha držal na mieste, kým sa hojí

#2 Zásah bleskom môže zanechať aj takéto “tetovanie“

#3 Mám kožné ochorenie nazývané dermatografia, kvôli ktorému mi ľahké škrabanie pokožky spôsobuje niečo ako pľuizgieriky od žihľavy

#4 Anonychia je čiastočná alebo úplná absencia jedného alebo viacerých nechtov na prstoch na rukách alebo nohách

#5 Toto perfektne vysvetľuje tú bolesť, ktorou trpím

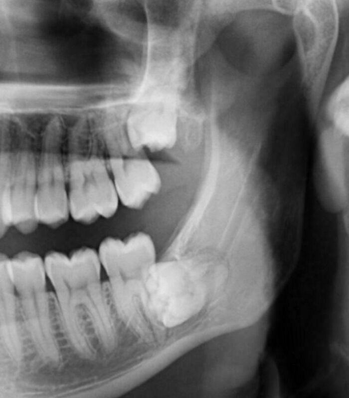
#6 Minulý mesiac som išiel na dentálnu hygienu a spomenul som pocit znecitlivenia v zube – bol som šokovaný, keď som zistil, že mi nádor požiera čeľustnú kosť

#7 Ruky olympijského veslára po veslovaní 1000 km

#8 Nemám (takmer) žiadnu farbu očí, pretože mám nezvyčajne veľkú zornicu

#9 Moje ľavé obočie zrazu zbelelo

#10 Toto je obličkový kameň, ktorý som pred časom vylúčil












